Total Savings of £1,792 on ALL Invisalign Cases
Book a FREE Consultation with your leading Diamond Apex Invisalign® Practice
£1000 off your Invisalign® treatment
FREE 3D Scan (worth £99)
FREE Teeth Whitening (worth £395)
FREE Retainers (worth £298)
With our experts, you can have your new smile quicker than you think
See your smile before going ahead with treatment
A wide range of payment options, including 0% over 12 months


Invisalign® is the revolution in teeth straightening using clear aligners which are worn for a minimum of 22 hours per day. You can remove the aligners to eat, have hot drinks and to brush your teeth. You wear each aligner for around one week and your dedicated compliance is essential for the system to work.
Invisalign® works with a series of personalised laboratory manufactured aligners, designed to uniquely move your teeth slightly closer to your final smile. As your teeth move, you move onto the next set of aligners until you’ve achieved your perfect smile.
At your consultation you will meet our friendly treatment co-ordinator and your treating dentist to have your photos and scan taken. The team will then show you how your smile can be improved and answer any questions you have.
A 3D smile simulation scan
All your questions answered
An outline of all costs and offer details
Based in Cheltenham with a local, experienced and dedicated team - our aim is to put you and your needs first.

Warm and Friendly Environment

Diamond Apex Invisalign® Practice

Flexible Finance Options
Take the next step and get in touch with us to see how we can use Invisalign® to transform your smile
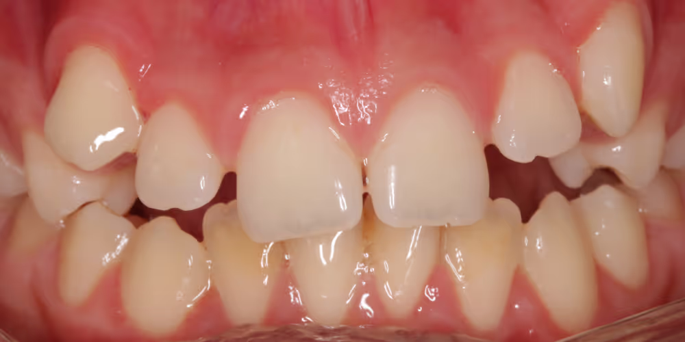
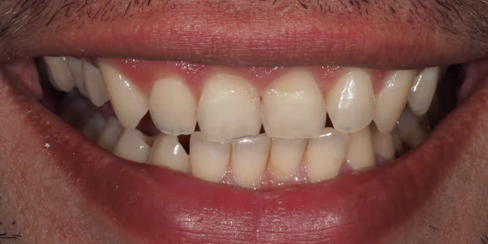
Everyone deserves a smile they can wear with pride and joy, one that lights up every room. Our smile gallery showcases just a glimpse of the many happy clients who have entrusted NUYU Dental and Aesthetics with transforming their smiles.






Save a total of £1,792
Your Invisalign® today
FREE 3D SCAN
with Boutique Teeth Whitening
with Retainers
We keep all our pricing as clear and transparent as possible with no hidden cost and our flexible payment plans make treatment affordable for all.
0% Finance Available On Request
From £2,295 £1,295
From £395 Free
From £99 Free
From £298 Free
*Invisalign® pricing is based on the number of aligners needed to achieve your dream smile with prices ranging between £2,295 to £4,595. Your dentist will be able to determine the number of stages needed at your consultation .
Cosmetic Dentist | GDC No 101469 | BDS Brist,United Kingdom, 2005
Dr Naiz Khan qualified from the University of Bristol in 2005 and has spent the last 15 years treating thousands of patients in Gloucester, Cheltenham, Banbury and Worcester.
With a keen interest in orthodontics, Dr Naiz has been providing teeth straightening solutions with Invisalign® for nearly a decade now to treat a variety of orthodontic concerns including teeth that are crooked, crowded or spaced out. Dr Naiz is one of the UK’s leading providers of Invisalign® treatment and is part of the Apex group — a recognition that places him among the top 1% of Invisalign® providers in the country.
His aim is to create a long lasting, friendly, and professional relationship based on honesty and trust with every patient, so that they are at ease when receiving the very best care.
Dr Naiz gets his job satisfaction from being able to combine the art and science of dentistry to help create smiles, which help increase confidence and self-esteem in his patients.
Dr Naiz spends his time outside of surgery with his young children and supporting other dentists with their clinical skills.